Du Lundi au Vendredi de 9h à 12h et de 14h à 19h
L’éclaircissement dentaire
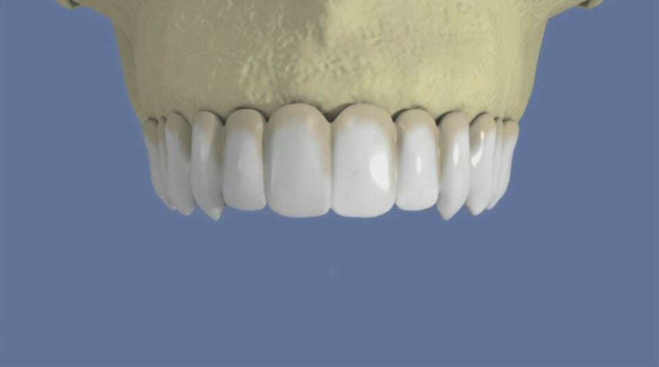
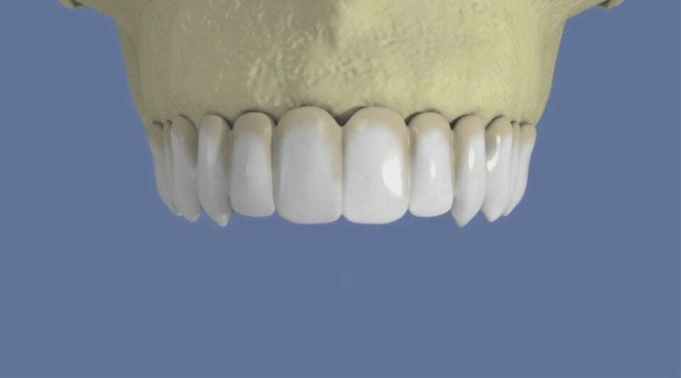
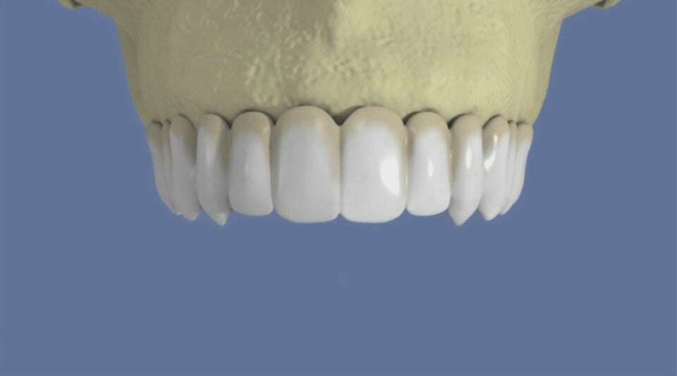
Maxillaire all-on-6 et comblement de sinus
Le cabinet est ouvert du Lundi au Vendredi de 9h à 12h et de 14h à 19h et se situe au 37 rue d'Antibes à Cannes (06400).
Création par
Connexion
Vidéo en cours de lecture